Understanding chipped tooth: causes and symptoms A chipped tooth is a common dental issue that can occur due to various reasons, such as biting on hard foods, trauma, or grinding your teeth. It can range from a minor chip to a more severe break, exposing the inner layers of your tooth. Symptoms of a chipped […]
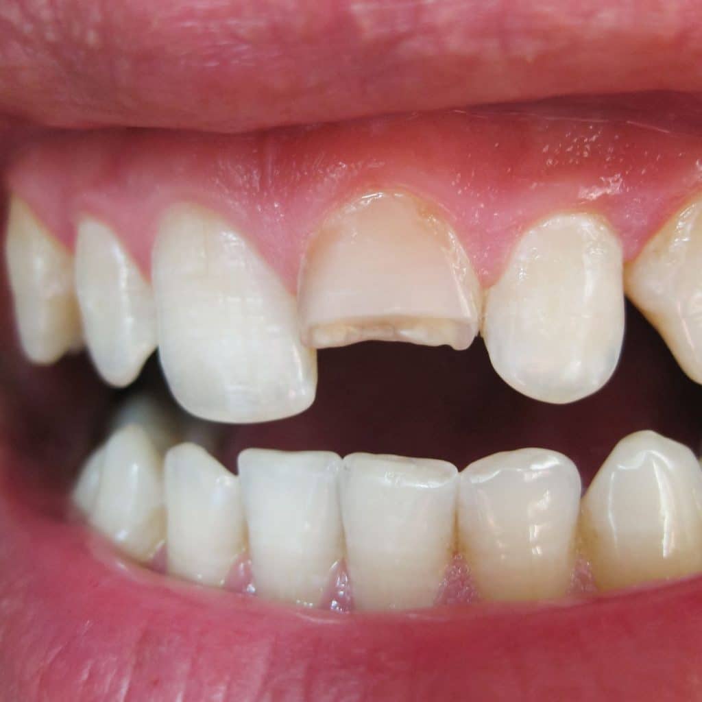
Understanding a broken tooth: causes and types
A broken tooth can occur due to various reasons, ranging from accidents to underlying dental issues. One of the most common causes is trauma or impact, such as a sports injury, a fall, or biting down on something hard like ice or hard candy. Additionally, teeth can become weakened over time due to tooth decay, large fillings, or grinding habits, making them more susceptible to fractures or cracks.
There are different types of tooth fractures, each requiring specific treatment approaches. A minor crack or chip in the tooth's enamel may not cause significant discomfort, while a more severe break that extends into the dentin (the layer beneath the enamel) or even the pulp (the innermost part containing nerves and blood vessels) can be extremely painful and require immediate attention.
Vertical cracks that run from the chewing surface down towards the root are particularly concerning, as they can split the tooth into two separate pieces, potentially leading to the loss of the entire tooth.
Common symptoms of a broken tooth
When you experience a broken tooth, you may notice several telltale signs. One of the most obvious symptoms is a sharp, shooting pain when biting down or applying pressure to the affected tooth. This pain can range from mild discomfort to severe, throbbing agony, depending on the extent of the fracture.
Another common symptom is sensitivity to hot, cold, or sweet foods and drinks. If the crack or break extends into the dentin or pulp, the exposed inner layers of the tooth can become hypersensitive to temperature changes and sugary substances.
In some cases, you may also experience swelling or inflammation around the affected area, particularly if the break has allowed bacteria to enter the tooth's inner chambers. This can lead to an infection, which may cause additional pain, discomfort, and even fever or swollen lymph nodes.
Immediate actions to take when a tooth is broken
If you experience a broken tooth, it's essential to take immediate action to minimize further damage and alleviate discomfort. Here are some steps to follow:
- Rinse your mouth with warm water to remove any loose debris or fragments.
- Apply a cold compress or ice pack to the affected area to reduce swelling and numb the pain.
- If the broken tooth has a sharp edge, cover it with dental wax or a piece of sugarless gum to prevent it from cutting your tongue or cheek.
- Take over-the-counter pain medication, such as ibuprofen or acetaminophen, to help manage the discomfort.
- If you have the broken piece of tooth, try to save it and bring it with you to the dentist. In some cases, it may be possible to reattach the fragment.
- Contact your dentist immediately and schedule an appointment as soon as possible.
How to manage the pain and discomfort of a broken tooth
While waiting to see your dentist, there are several ways to manage the pain and discomfort associated with a broken tooth:
- Over-the-counter pain relievers: As mentioned earlier, medications like ibuprofen or acetaminophen can help alleviate pain and reduce inflammation.
- Cold compresses: Applying a cold compress or ice pack to the affected area can numb the pain and reduce swelling.
- Salt water rinses: Gently swishing warm salt water in your mouth can help clean the area and provide temporary relief.
- Dental wax or gum: Covering sharp edges with dental wax or sugarless gum can prevent further irritation to your tongue or cheek.
- Avoid hard or crunchy foods: Stick to soft, easy-to-chew foods and avoid biting down on the affected tooth until it's treated.
It's important to note that these measures are temporary solutions, and you should seek professional dental care as soon as possible to address the underlying issue and prevent further complications.
Can a broken tooth heal on its own?
Unfortunately, a broken tooth cannot heal on its own. Unlike other parts of the body, teeth do not have the ability to regenerate or repair themselves once the enamel or dentin is damaged. This is because teeth are made up of non-living materials and lack the necessary cells for self-repair.
However, in some cases, a minor chip or crack in the enamel may not require immediate treatment if it does not cause any discomfort or expose the inner layers of the tooth. Your dentist may recommend monitoring the situation and taking preventive measures to avoid further damage.
If the break extends into the dentin or pulp, it's crucial to seek prompt treatment, as these areas are more sensitive and susceptible to infection. Leaving a broken tooth untreated can lead to further complications, such as tooth decay, abscess formation, or even the need for a root canal or extraction.
The importance of seeking professional dental care for a broken tooth
While temporary measures can provide relief, seeking professional dental care is essential for proper treatment and long-term oral health. Here are some reasons why it's crucial to visit your dentist promptly when dealing with a broken tooth:
- Accurate diagnosis: Your dentist can thoroughly examine the extent of the damage and determine the best course of treatment.
- Pain relief: Dentists can provide effective pain management solutions, such as local anesthesia or prescription pain medication, if necessary.
- Infection prevention: Prompt treatment can prevent bacteria from entering the tooth's inner chambers and causing an infection.
- Restoration of function: Depending on the severity of the break, your dentist can restore the tooth's function and appearance through various treatment options.
- Preservation of tooth structure: Early intervention can help preserve as much of the remaining tooth structure as possible, reducing the need for more extensive procedures.
Neglecting a broken tooth can lead to further complications, increased pain, and potentially more costly and invasive treatments down the line. Seeking professional dental care promptly is essential for maintaining your oral health and preventing more serious issues.
Treatment options for a broken tooth: fillings, crowns, and root canals
The treatment for a broken tooth will depend on the extent of the damage and the specific location of the fracture. Here are some common treatment options:
- Dental fillings: If the break is minor and only affects the enamel or a small portion of the dentin, your dentist may be able to repair the tooth with a dental filling. This involves removing any decayed or damaged tooth structure and filling the area with a tooth-colored composite resin material.
- Dental crowns: For more extensive breaks or cracks that affect a significant portion of the tooth, a dental crown may be recommended. A crown is a custom-made cap that covers the entire visible portion of the tooth, providing strength and protection. Crowns can be made from various materials, such as porcelain, ceramic, or metal alloys.
- Root canal treatment: If the break extends into the pulp (the innermost layer containing nerves and blood vessels), a root canal procedure may be necessary. During a root canal, the infected or inflamed pulp is removed, and the inside of the tooth is cleaned, disinfected, and sealed. After a root canal, the tooth is typically restored with a crown to provide additional strength and protection.
In some cases, a combination of treatments may be required, such as a root canal followed by a crown. Your dentist will evaluate your specific situation and recommend the most appropriate treatment plan to restore the function and appearance of your broken tooth.
When is tooth extraction necessary for a broken tooth?
In most cases, dentists will make every effort to save and restore a broken tooth. However, there are certain situations where tooth extraction may be the only viable option:
- Severe vertical root fracture: If the tooth has a deep vertical crack that extends below the gum line and into the root, it may be impossible to save the tooth, as these types of fractures cannot be effectively treated.
- Extensive tooth decay or damage: If a significant portion of the tooth structure is decayed or damaged beyond repair, it may not be possible to place a crown or other restoration successfully.
- Failed root canal treatment: In some cases, a root canal treatment may not be successful, and the tooth continues to cause pain or infection. If the issue persists, extraction may be recommended.
- Orthodontic reasons: In certain orthodontic cases, a tooth may need to be extracted to create space or correct bite issues.
- Impacted wisdom teeth: Wisdom teeth that are partially erupted, impacted, or causing pain or infection are often recommended for extraction.
Before deciding on tooth extraction, your dentist will thoroughly evaluate your situation and consider all possible treatment options. Extraction is typically viewed as a last resort when other restorative treatments are not feasible or have failed.
Temporary solutions for a broken tooth until you see a dentist
If you cannot see a dentist immediately for your broken tooth, there are temporary solutions you can try to alleviate discomfort and protect the affected area until your appointment:
- Dental wax or sugarless gum: Covering sharp edges or exposed dentin with dental wax or sugarless gum can provide a protective barrier and prevent further irritation to your tongue or cheek.
- Temporary dental cement or filling material: Some pharmacies or dental supply stores sell temporary dental cement or filling materials that you can use to temporarily cover a small chip or crack until you can see your dentist.
- Dentemp or denture adhesive: These products, commonly used for securing loose dentures, can also be used as a temporary measure to cover a broken tooth and provide some relief.
- Over-the-counter pain medication: As mentioned earlier, taking over-the-counter pain relievers like ibuprofen or acetaminophen can help manage pain and discomfort.
- Avoid biting on the affected tooth: Try to chew on the opposite side of your mouth and avoid putting pressure on the broken tooth until it can be treated.
It's important to note that these temporary solutions are not a substitute for professional dental treatment and should only be used as a short-term measure until you can see your dentist. Delaying proper treatment for a broken tooth can lead to further damage, infection, and more extensive and costly procedures in the future.
Preventive measures to protect your teeth from breakage
While accidents can happen, there are several preventive measures you can take to reduce the risk of breaking or cracking your teeth:
- Wear a mouthguard: If you participate in sports or activities where there is a risk of impact to the face or mouth, wearing a properly fitted mouthguard can help protect your teeth from trauma.
- Avoid chewing on hard objects: Refrain from chewing on ice, hard candies, or other non-food items, as these can easily crack or cause a chipped tooth.
- Manage teeth grinding or clenching habits: If you grind or clench your teeth at night, consider wearing a nightguard to prevent excessive wear and tear on your teeth.
- Maintain good oral hygiene: Regular brushing, flossing, and professional dental cleanings can help prevent tooth decay and weakening of the tooth structure, reducing the risk of breakage.
- Address dental issues promptly: If you notice any cracks, chips, or other dental problems, seek treatment promptly to prevent further damage and potential tooth loss.
- Consider dental sealants or coatings: Your dentist may recommend applying dental sealants or coatings to strengthen and protect your teeth, especially if you have a history of tooth fractures or are at high risk.
By taking these preventive measures and maintaining good oral health habits, you can significantly reduce the likelihood of experiencing a broken tooth and the associated discomfort and treatment costs.
Conclusion
Dealing with a broken tooth can be a stressful and painful experience, but understanding the causes, symptoms, and treatment options can help you navigate the situation more effectively. Remember, seeking prompt professional dental care is crucial for proper diagnosis, pain management, and appropriate treatment to restore the function and appearance of your damaged tooth.
By following the immediate actions outlined in this article and utilizing temporary solutions until you can see your dentist, you can minimize further damage and discomfort. Additionally, implementing preventive measures, such as wearing mouthguards, avoiding hard objects, and maintaining good oral hygiene, can help reduce the risk of future tooth breakage.
If you or a loved one is experiencing a broken tooth, don't hesitate to contact our experienced dental team at Ouray Dental. We offer prompt and compassionate care, utilizing the latest techniques and technologies to restore your smile and alleviate any discomfort.
Remember, your oral health is a vital aspect of your overall well-being, and seeking professional dental care when needed can prevent further complications and ensure a healthy, beautiful smile for years to come.
